CT Scan
Recent cases presenting to our imaging department.
1) Nasal Tumor - Chronic nasal discharge
Oakleigh 13 yr old cattle dog, presented for a CT scan of the skull due to a chronic nasal discharge which was non-responsive to antibiotics. CT imaging revealed a mass obliterating the nasal turbinates on the left side of her nose.
2) Osteosarcoma - forelimb lameness
Bella, 2 yr Labrador, was referred for a CT scan of her left thoracic limb due to an acute onset 6/6 lameness. Her primary care vet had already obtained radiographs of her thoracic limbs. No abnormalities were found except for a possible increase in mineral density of the proximal humerus. On presentation, Bella showed discomfort when palpating the proximal humerus. Sedated CT of her shoulder without contrast was performed.

A very clear lesion in her proximal humerus consistent with osteosarcoma was immediately identified.

3) Synovial Cell Sarcoma - hindlimb lameness
Toffee, 10yr springer spaniel was admitted through our emergency department for an acutely painful stifle. Radiographs of his hind leg were obtained and sent to a radiologist for interpretation. The report came back identifying a swelling in the stifle (knee) along with mild degenerative changes, which they erroneously attributed to a suspected meniscal cartilage or cruciate ligament injury. Toffee was referred to our orthopedic department for TPLO surgery. Upon examining Toffees leg, things immediately did not add up. He was extremely painful when his stifle (knee) was palpated, yet no instability resulting from cruciate ligament was identified. After reviewing the original radiographs, additional radiographic changes that were previously missed were identified in the distal femur which raised suspicion for a neoplastic (cancer) cause of the lameness. Before exploring the stifle for ligamentous or cartilage damage, advanced imaging was recommended to rule out cancer. The CT scan revealed aggressive change in the distal femur, proximal tibia and around the sesamoids that was consistent with a synovial cell sarcoma or chondrosarcoma.
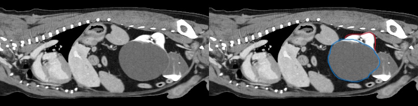
4) Cystic Kidney - incidental abdominal mass palpated during routine health exam

Blaze, 13 yr old chihuahua, was referred for surgery after his primary care veterinarian palpated an abdominal mass during a routine wellness exam. Abdominal radiographs were obtained, and a splenic mass was suspected.

We recommended additional diagnostics to identify the origin of the mass and to check for evidence of metastasis prior to an exploratory abdominal procedure.
Abdominal and thoracic studies pre and post contrast were obtained. Whilst the spleen appeared to be free of disease, the 3D renderings clearly showed a deformed left kidney. Review of the axial images showed a large abdominal mass originating from the left kidney. The right kidney appeared free from disease. No evidence of metastasis was detected within the chest or abdominal lymph nodes. The only abnormalities on lab work included mild elevations of ALT and BUN. Blaze was taken to surgery, where his left kidney was surgically removed. Histopathology confirmed the mass as a benign cystic structure.

For more information on our CT scanner, diagnostics or other veterinary services, please contact our office during business hours: (209) 847-2257