Orthopedic Pet Surgery
Expert surgical solutions to restore mobility and comfort for your pet
Orthopedic surgery is just one of the many types of surgery offered at Oakdale Veterinary Group. Rather than referring to a single surgery, orthopedic surgery is an umbrella term used to describe several bone and joint repair procedures.
Though orthopedic surgery is most commonly used to treat fractured bones, it can also be used to treat congenital defects such as elbow dysplasia and patellar luxation. Joint replacement, such as total knee replacement, is also considered an orthopedic surgery.
Conditions that can be treated with orthopedic surgery include:
- Amputation
- Fractured Bones
- Bone Plating
- Cranial Cruciate Ligament (CCL) Repair
- Femoral Head and Neck Ostectomy (FHO)
- Joint Surgery
- Patella Luxation Repair
- Tibial Plateau Leveling Osteotomy (TPLO)
- Tibial Tuberosity Advancement (TTA)
Any pet that undergoes orthopedic surgery will require at least two weeks of restricted exercise and constant monitoring. It’s important to understand that almost all orthopedic surgeries come with a lengthy recovery time and, depending on how well your pet is doing towards the end of their recovery, we may recommend canine rehabilitation.
TPLO and Extra-Capsular Stabilization Surgeries
What to Expect
Physical Exams
The exam starts by observing the dog walking to confirm which limb they are lame on. All limbs will then be examined to check for any loss of range of motion, crepitus (grating within the joint), or effusions (swellings) within the joints. The stability of both stifles is assessed by checking for tibial thrust and cranial drawer. If instability can not be demonstrated with the patient conscious, the tests may be repeated with the patient sedated. Other body systems are assessed to ensure that there are no other health issues that may prevent surgery or must be assessed before surgery can be scheduled. Any dental disease should be corrected prior to surgery being scheduled.
Pre-Surgical Bloodwork
Blood is collected to check for any underlying health issues that may indicate the patient is not a good candidate for surgery. This includes CBC, chemistry, PT, and PTT (Antech WSA050).
For extra-capsular stabilization, an ECG is also submitted using telemedicine to check for abnormalities.
Pre-Surgical Radiographs
Orthogonal radiographs of both stifles are obtained and assessed. In the majority of cases, an effusion is visible within the stifle that demonstrates inflammation and pathology of the joint. The joint is assessed for other diseases such as osteochondritis dissecans (OCD), or neoplasia (cancer). Chronic cruciate injuries or those with concurrent meniscal damage tend to have an increased amount of degenerate changes visible on the radiographs.
The Day of Surgery
The patient will be fasted overnight to ensure that they do not regurgitate food and then inhale it into their lungs the following day whilst under anesthesia, this is called inhalation pneumonia. The patient will be pre-medicated with a combination of an opioid and a sedative. Once the dog is pre-medicated, radiographs will be obtained if not recently obtained by our hospital. The patient's affected leg will be shaved from the middle of the body all the way down to the hock.


Anesthesia
An intravenous (IV) catheter is placed into one of the cephalic veins. The patient will receive IV Fluids whilst their injured leg is being shaved. The IV fluids increase the circulating volume of blood which helps maintain a normal blood pressure whilst the patient is anesthetized. Anesthesia is induced with an injection of a drug called propofol. Once the patient has fallen asleep an endotracheal tube is inserted into their trachea through their mouth to facilitate the administration of oxygen and a gaseous anesthetic. Sensors are hooked up to the patient to allow measurement of the pet's heart rate, ECG trace, blood pressure, end-tidal carbon dioxide levels. We have Cardell monitors in our surgical prep area and in our operating room.
An epidural injection of preservative-free morphine and bupivacaine is administered to the patient. The epidural provides around 6 hours of desensitization of the pelvic limbs.
Intravenous antibiotics are started to build up the concentration of antibiotics in the patient's bloodstream.
Surgical Scrub And Limb Draping
The patient is positioned on their back. A cover is placed over the unclipped hair of the paw and the leg, while the affected leg is suspended and aseptically prepared using a 4% chlorhexidine solution.
The patient is transferred into the operating room, where the patient is positioned for surgery and reconnected to anesthetic monitors. The ground plate for the electrocautery machine is applied to a shaved spot on the patient's thigh. Whilst the injured limb is still suspended the limb is isolated with sterile drapes. An iodine-impregnated wrap (Ioban) is applied to the limb. This aids in maintaining sterility of the operating site by preventing contact between the surgeon and the skin of the patient. Whilst the skin has been cleaned and the amount of bacteria now present on the skin has been significantly reduced there are still some bacteria present.
Incision Site
Extra-Capsular Stabilization incision is made on the outer side of the stifle (knee).
TPLO incision is made through the iodine wrap on the inner side of the stifle (knee).
Joint Explore
An incision is made into the joint capsule. This procedure is called an arthrotomy. The joint is lavaged, and the internal structures are examined. Remnants of the damaged cranial cruciate ligament are removed as it serves no purpose after the joint has been stabilized, and the remnants could create a future source of pain. The medial and lateral menisci are cartilage pads that help to transfer weight from the femur to the tibia. These cartilages are examined. If damaged, then the damaged portion is removed (partial meniscectomy), or the entire meniscus may be removed (complete meniscectomy). The joint is lavaged and the joint capsule is sutured closed with a dissolvable suture.

Click on the surgery below to view addional information regarding the specific procedure you're interested in for your pet!
Extra-Capsular Stabilization - additional information

Post Surgical Radiographs
While the patient is still anesthetized, the patient is taken into radiology for post-surgery radiographs (X-rays). The radiographs are assessed to ensure the apparatus FASTak screw and toggle are appropriately positioned.

Recovery From Anesthesia
After the post-surgical radiographs have been reviewed by the surgeon, the patient is moved through to recovery. The patient's leg is cleaned and a light padded bandage is applied to the limb to help prevent post-surgical swelling.
The patient is extubated and moved through to a recovery kennel. The epidural (bupivacaine and morphine) provides 6-hours of post-surgical relief for the patient. This equates to 3-4 hours of pain relief after the patient has woken up from anesthesia. After the epidural has worn off the patient will be able to walk out to the bathroom and already be able to place weight on their operate limb. Most patients will feel good enough to enjoy a nice dinner after surgery.
Post Surgical Care
or routine procedures, the usual hospital stay is 2-3 days. We often board patients for a longer duration after surgery when their owners feel they are unable to provide the necessary care required during the recovery period. A light padded bandage is applied to the operated limb to help reduce post-surgical bruising and swelling.
Typical rechecks are at 2, 6, and 12 weeks.
How Much Does Extra-capsular Stabilization Surgery Cost?
$3,950
This includes an orthopedic exam, pre-operative blood work, pre, and post-surgical radiographs, anesthesia, surgical time, hospitalization, post-operative pain relief and recheck examinations.
If you have any questions or would like more information, please call our office at (209) 847-2257.
Tibial Plateau Leveling Osteotomy (TPLO) - additional information
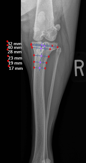
An osteotomy is a surgical cut in a bone. In the cruciate deficient stifle, a cut is made in the top of the tibia. The top portion of bone that contains the articular surface is rotated to level it. The two pieces of bone are held in place with a metal plate and screws.
Post Surgical Radiographs
While the patient is still anesthetized, the patient is taken into radiology for post-surgery radiographs (X-rays). The radiographs are assessed to measure the new tibial plateau angle. We are aiming for 5-6 degrees relative to the long axis of the tibia. The apparatus (plate and screws) are assessed for size and appropriate position.

Recovery From Anesthesia
After the post-surgical radiographs have been reviewed by the surgeon, the patient is moved through to recovery. The patient's leg is cleaned, and a sports wrap that provides cold compression therapy (Game Ready) is applied to the operated limb for 30 minutes.
The patient is extubated and moved through to a recovery kennel. The epidural (bupivacaine and morphine) provides 6 hours of post-surgical relief for the patient. This equates to 3-4 hours of pain relief after the patient has woken up from anesthesia. After the epidural has worn off, the patient will be able to walk out to the bathroom and already be able to place weight on their operated limb. Most patients will feel good enough to enjoy a nice dinner after surgery.
Post Surgical Care
For routine procedures, the usual hospital stay is 2-3 days. We often board patients for a longer duration after surgery when their owners feel they are unable to provide the necessary care required during the recovery period.
Typical rechecks are at 2, 6 and 12 weeks. Patients come back at two weeks to have their sutures removed. Until the sutures are removed the patients will wear an E-Collar (cone of shame) to prevent them from licking at their incision. The inflatable collars do not provide sufficient protection for surgery on the knee and are not recommended.
For the first 6 weeks after surgery, the patient will need to be confined to a small kennel or crate to prevent them from over-exercising. For the first two weeks after surgery, the patients will need to be taken out for toilet breaks (on a leash) and then returned to their crate. At two weeks, the patient will have their sutures removed, and they no longer need to wear the E-collar.
At two weeks after surgery the pets will be able to start going on short walks whilst being confined to their leash.
At six weeks after surgery, we will take radiographs to confirm the healing process is progressing as expected. The patient will then be able to move around within the confines of the house without being kept in a crate. Outside, they will still need to be kept on a leash for an additional 6 weeks. At 12 weeks after surgery, a final recheck exam and series of radiographs will be obtained. The patients will be cleared at this visit to resume activity off-leash.
How much does TPLO surgery cost?
$4,450 - $5,450*
This includes an orthopedic exam, pre-operative blood work, pre and post-surgical radiographs, anesthesia, surgical time, hospitalization, game-ready cold compression therapy, post-operative pain relief, and standard recheck examinations.
* Pricing based on standard repair procedure, and patient body weight being less than 140.0 lbs at the time of procedure. All prices quoted are based on the average procedure. For a specific price quote for your pet please call our office so we can confirm accurate, up to date pricing.
Additional Types of Orthopedic Injuries and Surgeries
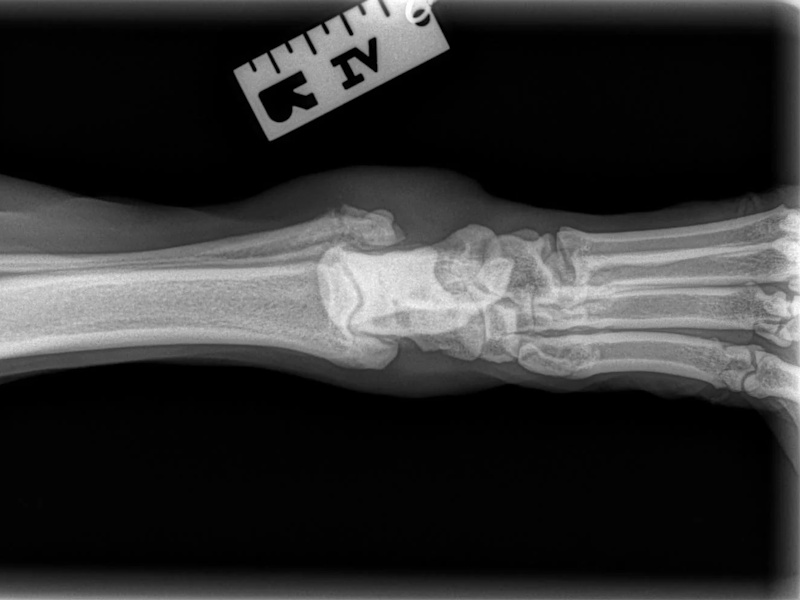
Carpal Hyperextension
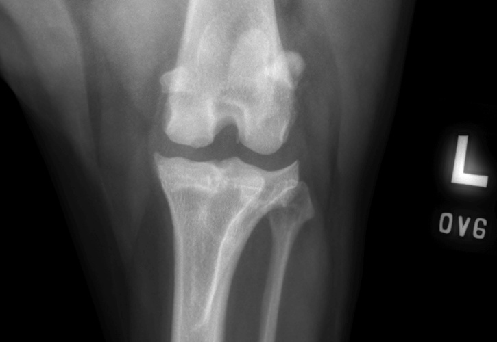
Stifle (knee) Osteochondritis Dissecans (OCD)
Osteochondritis dissecans (OCD) is a developmental condition that arises due to a disturbance in the normal differentiation of cartilage cells resulting in failure of endochondral ossification (essential process during foetal development of skeletal system resulting in bone formation).
In dogs that grow very quickly, the rapid cartilage growth can outstrip its own blood supply causing abnormal cartilage development resulting in lameness, pain and subsequent osteoarthritis. In some cases, flaps of diseased cartilage become separated from the remaining cartilage surface. This is called osteochondritis dissecans.
How Do I Know If MY Dog Has OCD?


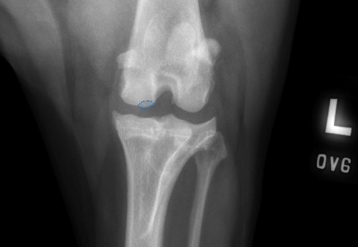
OCD lesion of the canine stifle highlighted with a blue dotted line
How Is Stifle OCD Treated?
- Surgical Removal of the Cartilage Flap
- SynaCart
SynaCart
Manufactured by Arthrex, SynaCart™ represents the cutting edge of treatment for canine OCD. The implant is a second generation synthetic osteochondral resurfacing implant which incorporates the polycarbonate urethane of the SOR implant mentioned previously and combines this with a trabecular titanium metal which allows bone to grow into the implant. Synacart was developed by Arthrex in conjunction with Dr Noel Fitzpatrick who was one of Dr Ned Trathans mentors back in the UK.
Cruciate Ligament Disease (CCL)
Patellar Luxation

Diagram of a Patella Luxation
Surgical Treatments for Patellar Luxation
- Tibial Tuberosity Transposition
- Femoral Varus Osteotomy
- Recession Sulcoplasty
- Soft Tissue Reconstruction
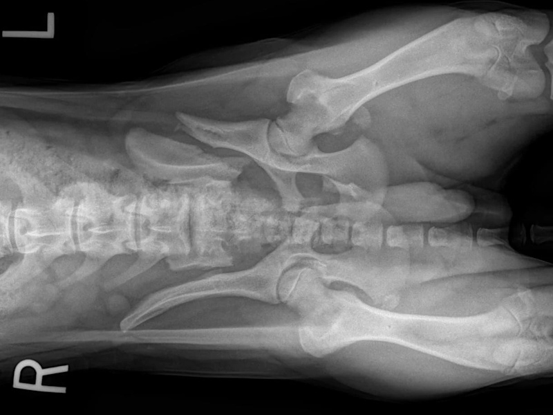
Hip Dysplasia

Hip Dysplasia in canines
Surgical Treatments of Hip Dysplasia
- Juvenile Pubic Symphysiodesis (JPS)
- Triple Pelvic Osteotomy (TPO)
- Total Hip Replacement (THR)
- Femoral Head and Neck Excision (FHNE)

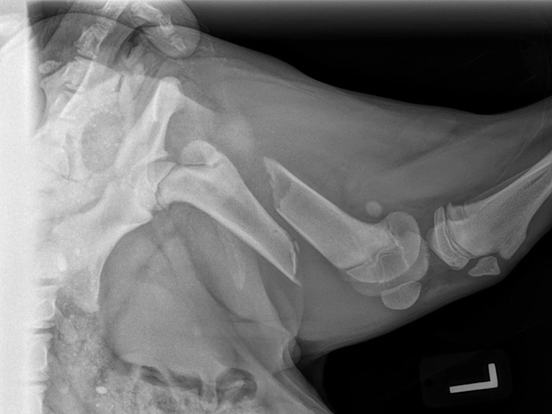
Coxofemoral Luxation (Hip Dislocation)

Hip Dislocation in canines
Treatment Option for Hip Dislocation

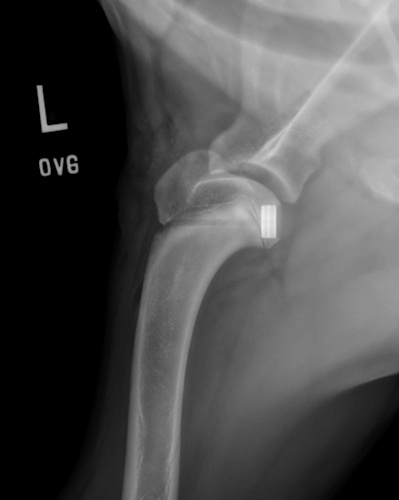
Post-op of a Hip Replacement
Shoulder Osteochondritis Dissecans (OCD)

Shoulder Osteochondritis Dissecans (OCD)
How Is Shoulder OCD Treated?
- Surgical Removal of the Cartilage Flap
- SynaCart
SynaCart
Manufactured by Arthrex, SynaCart™ represents the cutting edge of treatment for canine OCD. The implant is a second generation synthetic osteochondral resurfacing implant which incorporates the polycarbonate urethane of the SOR implant mentioned previously and combines this with a trabecular titanium metal which allows bone to grow into the implant. Synacart was developed by Arthrex in conjunction with Dr Noel Fitzpatrick who was one of Dr Ned Trathans mentors back in the UK.

Shoulder Osteochondritis Dissecans (OCD) with a SynaCart Implant
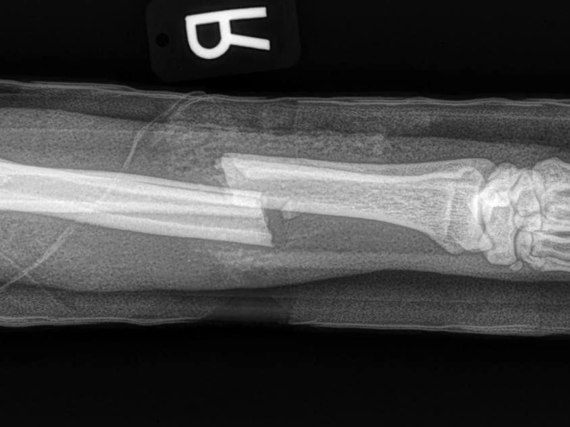
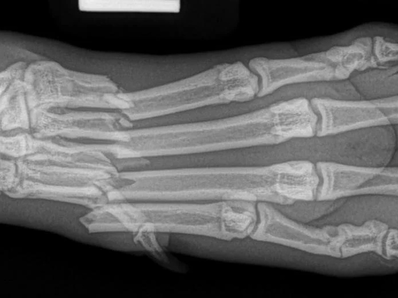
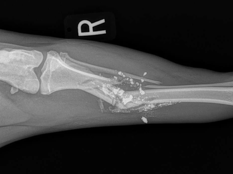
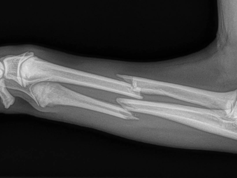
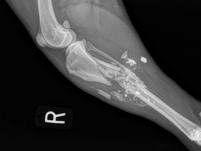
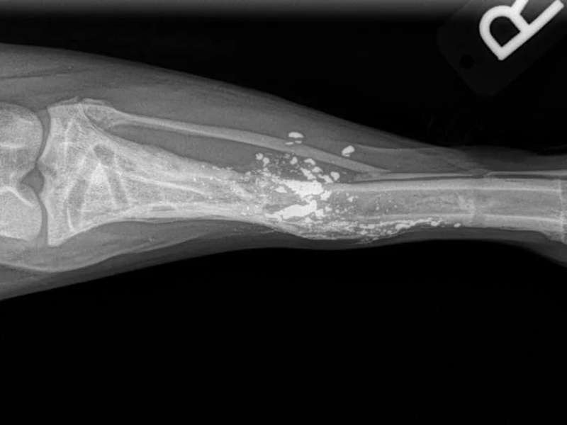
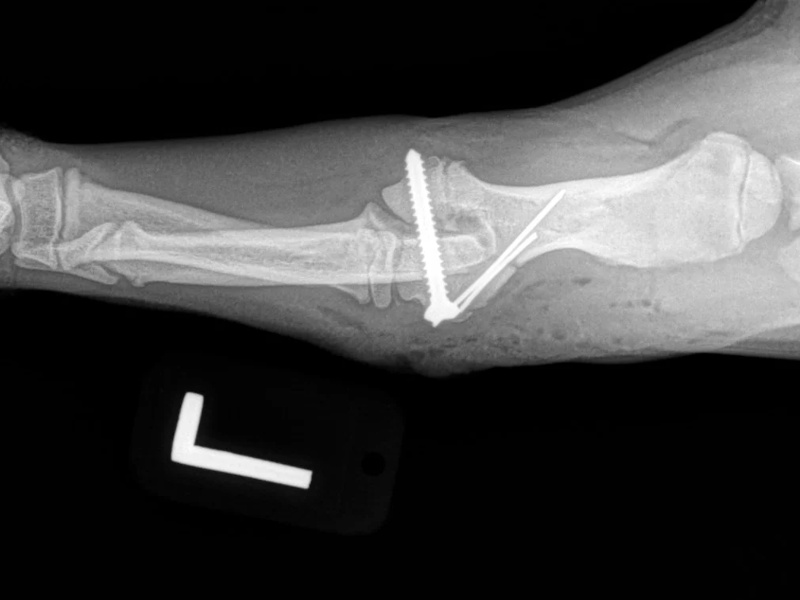
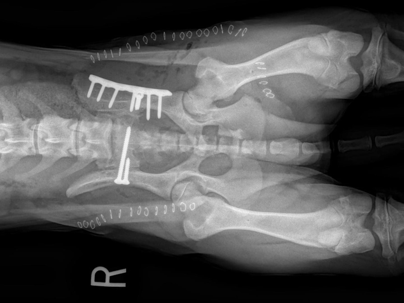
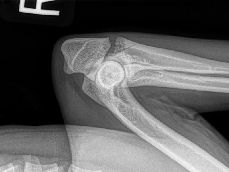
Types of Fractures
Fore Limb (Humerus, Radius/Ulnar, Metacarpus)
Hind Limb (Pelvis, Femur, Patella, Tibia/Fibula, Lateral Malleolus)
Pricing
- Cruciate Repair (TPLO): $4,450 - $6,950*
* For dogs with concurrent medial patella luxation and cruciate ligament injury, an additional $1,000 - $1,500 for extra surgical procedures where required. - Cruciate Repair (Extracapsular Stabilization): $4,450
*dogs under 15lbs. - Patella Luxation:
- $4,450 one side
- $8,200 both sides at the same time.
- Femoral Head & Neck Excision (FHNE/FHO): $3,250 - $4,550 *based on size
- Hip Toggle: $4,500 - $5,500
- Juvenile Pelvic Symphysiodesis (JPS), including spay/castrate: $3,000
- Pan-Carpal Arthrodesis: $6,500 - $8,000+
- Partial Carpal Arthrodesis: $5,250+
- Pan-tarsal Arthrodesis: $6,500 - $8,500+
- Fracture Fixation: $4,000 - $8,000+
- OCD Lesion:
- Debridement only $3,500
- One location, $6,000
- Two locations OCD
- Lesion: Debridement & Resurfacing
- $5,000 one location
- $9,000 two locations
- Forequarter Amputation:
- Under 20 lbs: $2,000
- 20 - 40lbs: $2,350
- 40 - 80 lbs: $2,700
- 80+ lbs: $3,000+
- Hindquarter Amputation:
- Under 20 lbs: $2,000
- 20 - 40lbs: $2,550
- 40 - 80 lbs: $2,900
- 80+ lbs: $3,200+
- Ununited Anconeal Process (UAP): Fragment removal $4,500 per elbow
Schedule an appointment by calling us at (209) 847-2257 or request online to learn more about orthopedic surgery.